Cómo eliminar y prevenir el sarro de los dientes
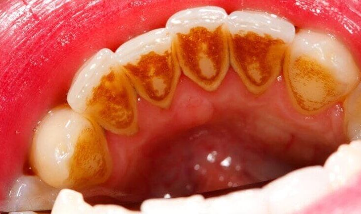
El sarro también conocido como «tártaro» o “cálculo dental”, consiste en el endurecimiento de la placa bacteriana sobre la superficie de los dientes, casi siempre debido a una higiene oral deficiente.
Esta suciedad se puede apreciar debajo de la línea de las encías, sobre los dientes y en los empastes u otros trabajos dentales. Si no se remueve de forma adecuada, puede inflamar las encías, provocar mal aliento y conducir a trastornos más graves como las caries y la enfermedad periodontal.
Dado que su acumulación es frecuente, muchas personas buscan soluciones para removerlo, de forma natural. No obstante, eliminarlo no es tan sencillo. Aunque hay una amplia variedad de remedios caseros que prometen ayudar, lo cierto es que se requiere intervención profesional. A continuación, te explicamos más al respecto.
¿Por qué se produce el sarro de los dientes?
Como te comentamos, el sarro dental es una acumulación endurecida de placa bacteriana que se forma sobre los dientes y debajo de las encías. Esta sustancia se genera cuando la placa, una película pegajosa compuesta por bacterias, restos de alimentos y saliva, no se elimina de manera adecuada a través de una buena higiene oral.
Con el tiempo, los minerales presentes en la saliva se combinan con la placa acumulada, provocando su endurecimiento y la formación del sarro. A medida que esta capa se calcifica, se vuelve más difícil de eliminar solo con el cepillado y requiere la intervención profesional.
La formación de sarro ocurre con mayor frecuencia en áreas de difícil acceso y cercanas a los conductos por donde sale la saliva: como la parte posterior de los dientes inferiores, la cara exterior de los molares superiores y la zona entre diente y diente.
En su estado inicial, suele presentarse con un color amarillento o blanquecino, pero cuando se forma debajo de las encías, el sarro puede volverse marrón, verde o negro. Esto no solo afecta la estética, sino también la salud bucal, en general.
¿Cómo eliminar el sarro de los dientes?
Si bien las redes sociales suelen popularizar métodos caseros que prometen eliminar el sarro sin ir al dentista, lo cierto es que esto no es posible. Aplicar ingredientes ácidos o abrasivos sobre las superficies dentales como sugieren estas tendencias, puede ocasionar daños irreversibles para la salud bucodental, como pérdida del esmalte, sensibilidad y mayor riesgo de caries.
Para eliminar el sarro de los dientes, es imprescindible la intervención de un profesional capacitado. Los odontólogos emplean instrumentos especializados y pastas específicas que permiten remover, de manera segura, la placa calcificada sin comprometer la salud bucal.
¿Qué hacen los dentistas para quitar el sarro?
El procedimiento habitual se conoce como limpieza profesional, profilaxis dental o tartrectomía. Este tratamiento puede realizarse mediante el uso de curetas manuales, que traccionan los depósitos sólidos, o con dispositivos de ultrasonido, los cuales emiten vibraciones para descomponer y eliminar el sarro adherido tanto a los dientes como debajo de las encías.
Por lo general, este procedimiento es indoloro y no dura más de 30 minutos. No obstante, en casos de sensibilidad dental severa, el odontólogo puede optar por utilizar anestesia local para mayor comodidad del paciente.
Cuando el tártaro se acumula en áreas más profundas, como debajo de las encías, se requiere una limpieza más profunda. En estos casos, se realiza un raspado y alisado radicular, que consiste en suavizar las superficies de las raíces dentales para facilitar la eliminación de residuos y promover una recuperación saludable del tejido gingival.
En casos más graves, puede ser necesario realizar pequeños cortes en la encía y cirugías periodontales para acceder mejor a las áreas afectadas. Este tratamiento es esencial para pacientes con problemas avanzados de periodontitis.
Después de eliminar el sarro, el odontólogo pule los dientes con cepillos y pastas especiales para dejar una superficie suave y limpia, lo que ayuda a prevenir la acumulación futura de placa. También suele aplicar flúor, que fortalece el esmalte y ayuda a prevenir la sensibilidad dental.
¿Cada cuánto hacer la limpieza?
Según la Asociación Dental Americana (ADA), la frecuencia de las limpiezas dentales debe adaptarse a la salud bucal de cada persona y a las recomendaciones de su dentista. En términos generales, se sugiere realizarlas una o dos veces al año. No obstante, algunos pacientes pueden necesitarlas de manera más frecuente, como aquellos que:
- Son fumadores
- Tienen diabetes
- Sufren de boca seca
- Tienen los dientes apiñados
- Padecen enfermedad de las encías
- Son propensos a la acumulación de placa y sarro
- Tienen dificultades físicas o limitaciones que les impiden llevar a cabo una rutina de higiene dental adecuada.
6 formas de controlar el sarro de los dientes
Como hemos detallado, una vez que se ha formado, no es posible eliminar el sarro de los dientes, a menos que se acuda al dentista para recibir un tratamiento profesional. Pese a esto, hay varias estrategias que pueden realizarse en el hogar para controlar o prevenir su formación.
El objetivo principal es controlar la placa bacteriana y evitar que se acumule. Una boca limpia, sin depósitos de residuos, reduce las posibilidades de que los minerales tengan dónde precipitar y formar más cálculo.
Estas son algunas medidas que no deberías pasar por alto si quieres controlar el sarro en casa.
1. Cepilla bien tus dientes
Para eliminar la placa bacteriana es necesario cepillar los dientes de manera correcta. Esto implica usar la técnica adecuada, asegurándose de limpiar las superficies internas, externas y las caras masticatorias de todos los elementos presentes, así como la lengua. El cepillado debe durar al menos dos o tres minutos y realizarse dos o tres veces al día, para garantizar una higiene bucal óptima.
Los cepillos de dientes eléctricos, en especial aquellos con movimientos oscilantes-rotatorios, son más eficaces para reducir la placa y la inflamación de las encías. Su diseño permite una limpieza más profunda y eficiente en comparación con los manuales. Optar por estos artefactos puede ser una gran ayuda para controlar el sarro.
2. Elige la pasta de dientes adecuada
La selección de una pasta dental con flúor es fundamental para la protección contra el sarro. Este mineral, además de fortalecer el esmalte dental y hacerlo más resistente a los ácidos que originan las caries, interfiere con la formación de la placa bacteriana.
Además, algunas pastas dentales están formuladas específicamente para controlar el sarro. La inclusión de ingredientes como el aragonito, los pirofosfatos de potasio y de sodio, sales de zinc y el triclosán contribuiría a prevenir su formación.
Por otro lado, las pastas formuladas con bicarbonato de sodio son capaces de controlar la placa y tienen una leve acción abrasiva que puede mejorar la eliminación de residuos sin dañar los dientes. Sin embargo, es importante utilizar productos formulados con este ingrediente, avalados por organismos que certifiquen su seguridad, en lugar de aplicarlo de manera directa o sin supervisión odontológica.
3. Limpia entre diente y diente
La placa bacteriana que se acumula entre diente y diente no puede ser eliminada por el cepillo dental. De esta manera, si no se realiza una higiene interdental adecuada, es probable que se calcifique y se transforme en sarro.
El hilo dental y los cepillos interdentales son eficaces para acceder a las áreas entre los dientes y debajo de la línea de las encías, eliminando los restos de comida y placa que allí se alojan. Su uso regular previene la formación de sarro, manteniendo las encías saludables, reduciendo la inflamación y el riesgo de enfermedades periodontales.
También puedes valerte de un irrigador bucal. Estos dispositivos utilizan un chorro de agua a presión capaz de acceder a los espacios entre los dientes y por debajo de la línea de la encía para eliminar bacterias y residuos. Cuando se usan de manera regular y adecuada, son muy eficaces para reducir la placa.
4. Utiliza enjuague bucal
El uso de enjuagues bucales que contienen agentes antibacterianos, como el cetilpiridinio, la clorhexidina o ciertos aceites esenciales, es una medida eficaz para reducir la acumulación de placa. Estos productos inhiben el crecimiento de bacterias orales y son un complemento útil al cepillado y al hilo dental.
Los colutorios con digluconato de clorhexidina son efectivos en el control de la placa y la reducción de la inflamación gingival. Sin embargo, su uso prolongado no se recomienda más allá de dos semanas, ya que pueden provocar efectos secundarios como la tinción temporal de los dientes y la lengua, así como cambios en el sentido del gusto.
5. Come sano
Limitar el consumo de alimentos azucarados y ricos en almidón ayuda a reducir el ambiente propicio para el crecimiento de las bacterias que producen la placa. Incorporar frutas y verduras frescas en la dieta no solo promueve una masticación vigorosa que aumenta la producción de saliva, sino que también ayuda a mantener la boca limpia.
Además, una adecuada ingesta de agua contribuye a la salud bucal al ayudar a eliminar los restos de comida y las bacterias.
6. Evita el tabaco
Fumar está asociado con un mayor riesgo de acumulación de sarro y enfermedades periodontales. Este hábito seca la boca, favorece la proliferación de bacterias y complica el control de la placa.
Dejar de fumar no solo mejora la salud general, sino que también reduce la acumulación de sarro, las manchas en los dientes y previene complicaciones más graves como la periodontitis y el cáncer oral.
¿Los remedios caseros funcionan para eliminar el sarro?
A pesar de las promesas que circulan en internet, los remedios caseros para eliminar el sarro dental han sido objeto de debate. Si bien algunos ingredientes tienen ciertos beneficios para la salud bucal, la mayoría no es eficaz para eliminar el sarro y, en algunos casos, su uso puede ser perjudicial.
A continuación, te presentamos las alternativas más populares y lo que debes saber sobre ellas:
Bicarbonato de sodio
Es uno de los ingredientes más comunes entre los remedios caseros para la salud oral. Aunque su uso moderado puede ayudar a reducir la placa bacteriana y aliviar la inflamación gingival, no es capaz de eliminar el sarro ya formado.
Para usarlo de manera segura, se recomienda mezclar media cucharadita de bicarbonato en una taza de agua tibia y realizar enjuagues bucales una o dos veces al día por no más de una semana. Esto puede ayudar a desinflamar los tejidos y controlar la acumulación de placa.
Sin embargo, el uso excesivo o directo de esta sustancia puede ser abrasivo y dañar el esmalte dental, lo que aumenta el riesgo de sensibilidad y problemas a largo plazo. Es preferible optar por pastas dentales que lo contengan entre sus componentes, ya que están formuladas para minimizar el daño mientras aprovechan sus beneficios.
Limón
El jugo de limón se ha popularizado como un blanqueador natural y una sustancia capaz de remover los residuos de la boca. Sin embargo, aunque puede tener algunos efectos antibacterianos, su alta acidez lo convierte en una opción peligrosa para la salud bucal.
El ácido cítrico que contiene es muy fuerte y puede erosionar el esmalte dental. La pérdida de esta capa protectora es irreversible y, no solo debilita los dientes, sino que también los hace más susceptibles a las caries y sensibles al frío y calor.
Agua oxigenada
El peróxido de hidrógeno o agua oxigenada es conocido por sus propiedades desinfectantes y se emplea en productos dentales para el blanqueamiento de dientes. Sin embargo, estas propiedades solo son efectivas cuando se utiliza en concentraciones adecuadas y bajo supervisión profesional.
Aceite de coco o sésamo
El enjuague con aceite de coco o de sésamo, también conocido como oil pulling, ha ganado popularidad como una práctica para mejorar la salud dental. Si bien podría ayudar a reducir algunas bacterias orales, no es efectivo para remover el sarro ya calcificado.
La evidencia sugiere que realizar esta práctica milenaria con aceite de coco ayudaría a disminuir la formación de sarro y la gingivitis inducida por placa. A su vez, contribuiría al control de otras molestias como el mal aliento.
Vinagre de manzana
Este es uno de los supuestos remedios caseros para eliminar el sarro más peligroso para la salud bucal, pues su alto contenido ácido puede deteriorar el esmalte de los dientes y aumentar el riesgo de sufrir sensibilidad dental y caries.
Carbón activado
El uso de carbón activado como blanqueador dental ha ganado popularidad en redes sociales. Sin embargo, su acción abrasiva puede desgastar el esmalte dental y no tiene la capacidad de eliminar el sarro.
¿Qué pasa si el sarro no se elimina?
Al acumularse sobre los dientes y debajo de las encías, la persistencia del sarro favorece la proliferación de más bacterias. Esta situación puede causar gingivitis, una inflamación gingival que, de no tratarse, puede evolucionar a periodontitis.
La piorrea o periodontitis es un proceso infeccioso e inflamatorio avanzado de los tejidos que dan soporte a los dientes. Sin tratamientos oportunos, la pérdida de hueso y la destrucción de las fibras que sostienen las piezas dentarias pueden conducir a la movilidad y la pérdida de los elementos.
Esta afección está asociada con problemas sistémicos, como mayor riesgo de afecciones cardíacas, enfermedades neurodegenerativas y complicaciones durante el embarazo. Quitar el sarro de la boca es una manera de cuidar la salud oral.
La persistencia del sarro en la boca también está asociado a las siguientes situaciones:
- Mal aliento
- Aumento del riesgo de caries
- Manchas y dientes amarillentos o negros
Ten la información al instante en tu celular. Únete al canal de Diario Primicia en WhatsApp a través del siguiente link: https://
También estamos en Telegram como @DiarioPrimicia, únete aquí: https://t.me/
